Splenic Tumours
Explore comprehensive care for splenic tumours in pets at Paddington Vet. From early detection to advanced treatment options, including surgery and aftercare, learn how we support your pet's health and extend their quality of life. Discover affordable, expert care tailored to your beloved pet's needs.
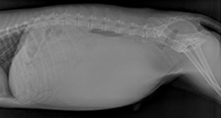
.jpg)
Image courtesy of https://www.acvs.org/small-animal/splenic-masses/
Splenic Tumours in Pets: Diagnosis, Treatment, and Care at Paddington Vet
What is a Splenic Tumour?
A splenic tumour is a growth found in your pet's spleen, manifesting either as benign (haemangiomas) or metastatic (haemangiosarcomas), the latter often having spread beyond the spleen by the time of diagnosis. Common early signs in dogs include weakness or collapse, potentially due to a rupture causing internal bleeding. Other symptoms might be general lethargy, weight loss, abdominal enlargement, and pale gums.
​
Which Breeds are Most at Risk?
Breeds such as Boxers, Pointers, German Shepherds, and Golden Retrievers have a higher predisposition to splenic tumours.
​
Diagnosis
Splenic masses may sometimes be detected during a physical examination of your pet's abdomen, or through an X-ray to locate the tumour. Additional diagnostics can include blood tests for anemia and ultrasounds to pinpoint the affected organ.
​
Treatment Options
The optimal treatment often involves removing the spleen and the tumour within. This procedure addresses the immediate threat of bleeding caused by the tumour, potentially extending your pet's life by three to six months without further treatment, even if the tumour has metastasised.
Significant blood loss may necessitate a blood transfusion before surgery.
​
Cost of Procedure
At Paddington Vet, such surgeries start at $2,600. Blood transfusions and additional tests like histopathology are inclusive in this price. This is significantly more affordable than referral centres, where costs can exceed $10,000.
​
Recovery and Aftercare
Typically, pets will be sent home for recovery, equipped with antibiotics and pain management solutions. Unlike referral centres, which may charge up to $2,000 per day for extended hospital stays, we believe in the benefits of home recovery under the owner's care.
​
We do offer payment plans through credit providers. Please see our payment plans section for more information.
​
Life Expectancy Post-Diagnosis
If the tumour is benign, pets can live several years post-surgery. For cases where the tumour has spread, a comfortable life expectancy of three to six months is possible, with options for chemotherapy to potentially extend this period.
_edited_p.png)